Ortodonție Brașov
Smiledent oferă în Brașov consultații și tratamente personalizate de Ortodonție în colaborare cu Doctor Specialist Ortodont Andrei Mitu.
Scopul ortodonției este obținerea unui zâmbet armonios și o dantură care funcționează corect. Astăzi, aparatele dentare sunt la fel de căutate atât de către adulți cât și pentru copii, fiind o investiție esențială atât în estetică, cât și în prevenția problemelor dentare.
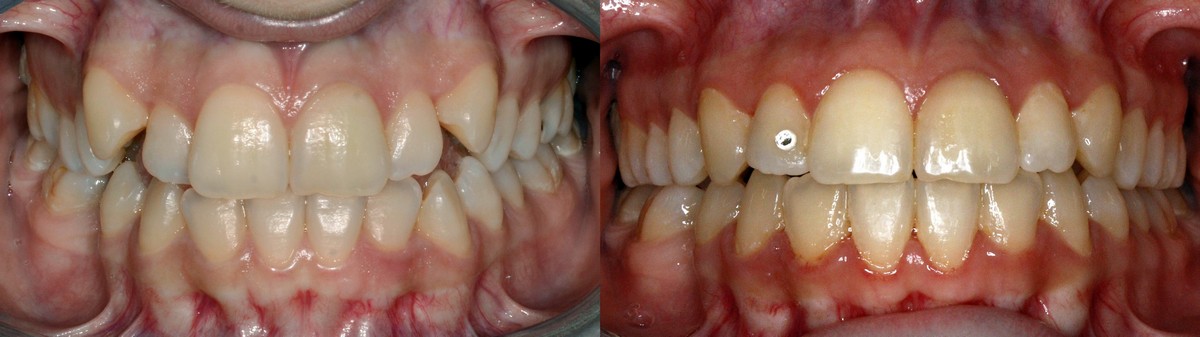
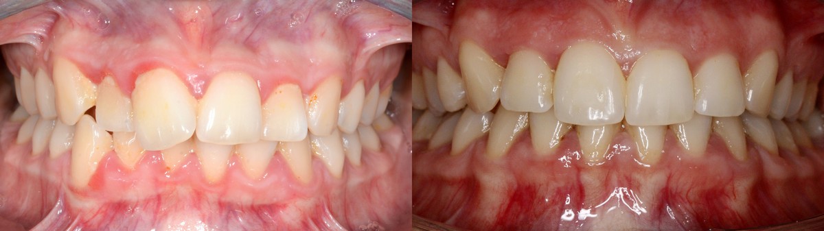
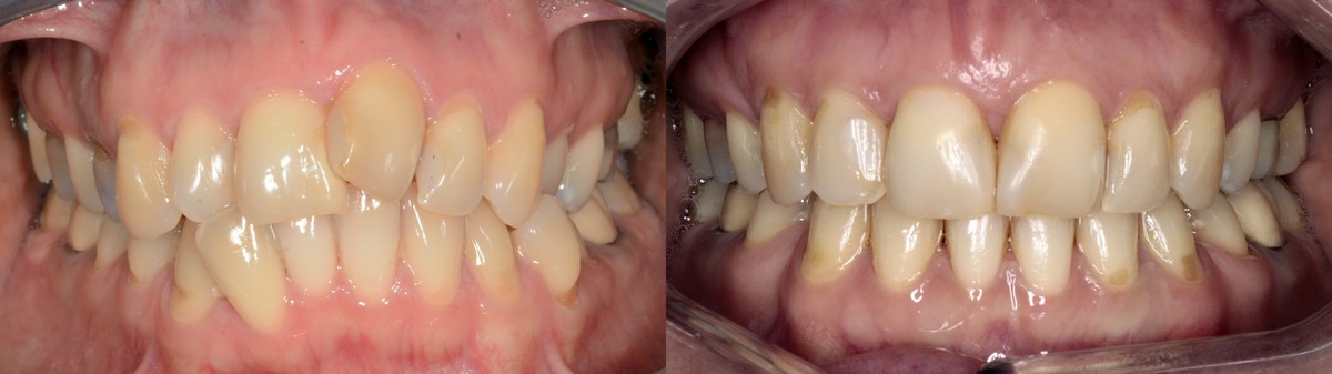
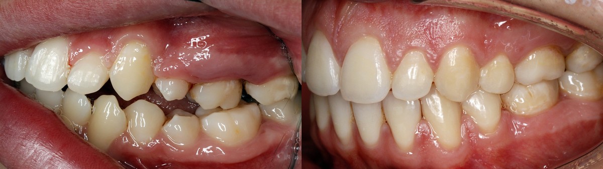
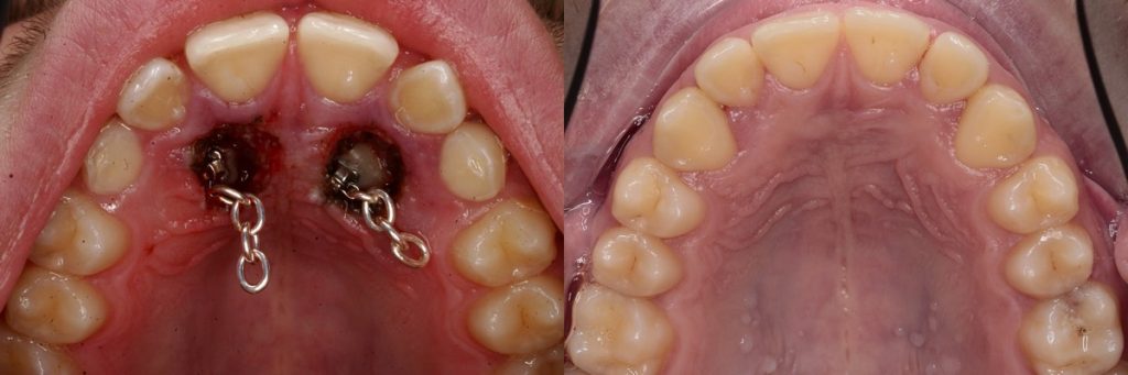
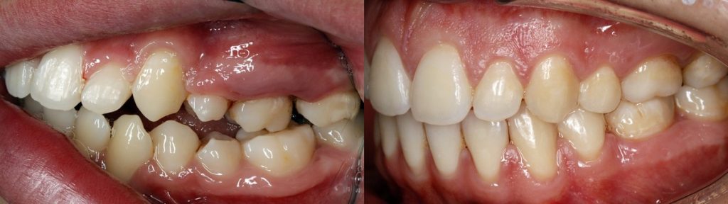
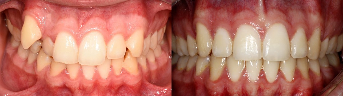
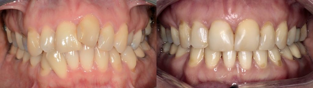
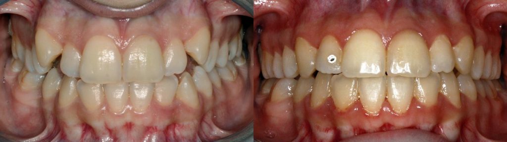
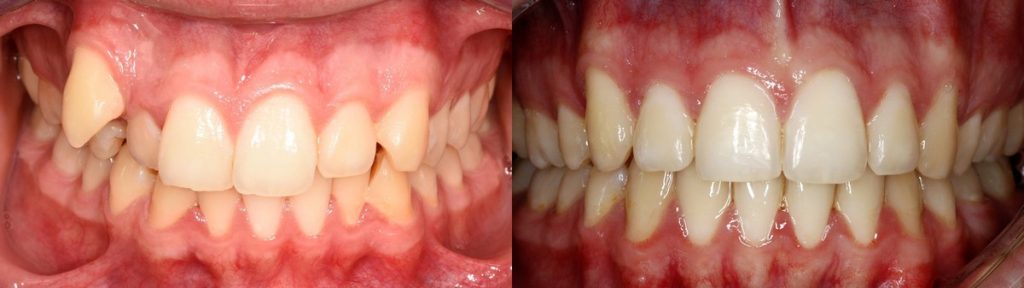
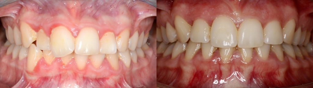
Mai jos se pot observa câteva dintre tratamentele ortodontice efectuate în cadrul clinicii Smiledent din Brașov, cu evidențierea situației înainte, respectiv după tratamentul ortodontic.
Ortodonția (ortho=drept si odons=dinte, din limba greaca) este specialitatea care se ocupă cu îndreptarea poziției dinților, a rapoartelor dintre aceștia, dar și a rapoartelor dintre oasele maxilare.
Tratamentul ortodontic face ca zâmbetul dumneavostră să arate fabulos, iar acesta va dura toată viața. De asemenea, tratamentul ortodontic va face ca întreaga față să arate mai frumos, prin corectarea rapoartelor dintre cele doua maxilare și prin schimbarea formei acestora. Daca vrei să îți corectezi dinții, atunci este recomandat să urmezi un tratament ortodontic. Tratamentul implică aplicarea unei presiuni ușoare asupra dinților în creștere sau care deja au crescut, prin fixarea unui aparat dentar.
Zâmbetul este partea cea mai expresivă a feței. Uitați-vă în oglindă. Vă place zâmbetul dumneavoastră, sau credeți că poate fi îmbunătățit? Gândiți-vă cum reacționați în fața unei persoane care are un zâmbet plăcut. Considerați că este mai atractivă?
Vârsta cea mai potrivită pentru a merge la ortodont este de 8-9 ani. La această vârstă, oasele maxilare cresc mai repede și sunt mai elastice. Astfel, se realizează mai ușor atât îndreptarea lor cât și repoziționarea dinților.
Tratamentul ortodontic este posibil la orice vârstă, însă la adulți tratamentul durează mai mult din cauză că oasele maxilare nu mai au elasticitatea din copilărie.
Există două tipuri de aparate dentare: fixe și mobile. Aparatele mobile se folosesc mai ales la copii, începând cu vârsta de 8 ani, succesul tratamentului depinzând în principal de voința copilului de a purta aparatele. După vârsta de 12 ani se folosesc aparatele fixe.

Este foarte important să se corecteze poziția dinților nu numai din motive estetice, ci și funcționale. Dinții înghesuiți nu pot fi igienizați corect și în timp se cariază sau apar probleme parodontale. Rapoartele incorecte între cele două arcade provoacă tulburări, care se manifestă prin oboseală musculară și dureri la mestecat. Toate aceste probleme pot fi însă prevenite prin intermediul unui tratament ortodontic.





